基线情况 | Baseline
左 XX ,男,57 岁
ECOG 0分
高血压1年,口服硝苯地平等药物治疗,维持平稳
诊为左肾癌肺转移靶免联合治疗半月余,高热3天
2022-02-18行超声引导下左肾肿物穿刺活检
穿刺病理:左肾透明细胞肾细胞癌
完善辅助检查
01 Blood Test
2022-03-08:丙氨酸氨基转移酶 143.7 U/L 偏高(9--50),天门冬氨酸氨基转移酶 220.3 U/L 偏高(15--40),血小板计数 75*10^9 /L。
02 病理
左肾透明细胞肾细胞癌。免疫组化:Cppan+,Pax-8+,CAIX+,CD10+,Vimentin+,CD117-, P504S-,CK7-, HMB45-。
03 CT
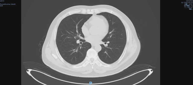
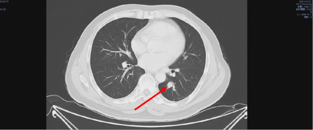
1. 左肾及肾周占位,建议结合其他检查;2. 双肺多发小结节灶,结合病史,考虑转移;3. 双侧胸腔及心包腔少量积液;4. 前列腺钙化灶;5.L5 双侧椎弓崩解;6. L2 椎体致密灶,建议观察。
Treatment
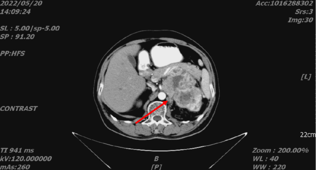
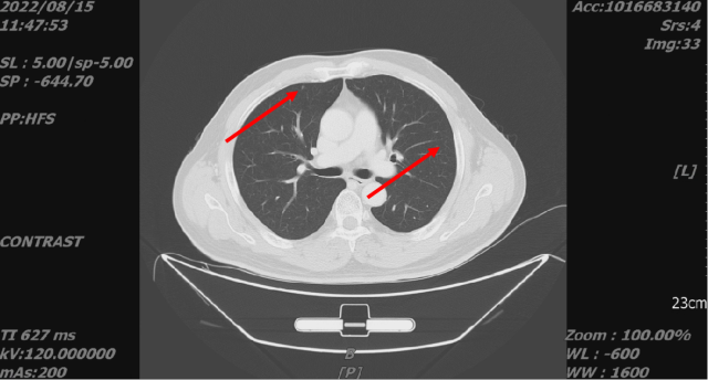
2022-05-20 CT:

舒尼替尼治疗后,2022-08-15 复查 CT

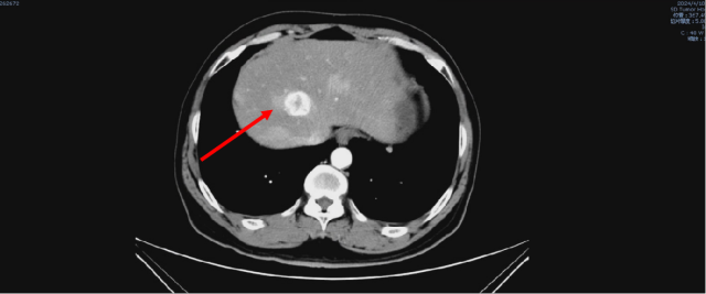
1. 结合临床,左肾癌治疗后,较前片 2022-5-20 好转;左侧肾上腺受累;考虑肝转移,较前缩小或显示不清。
2. 双肺转移,较前好转。
3. 前列腺钙化灶。
4. L5 双侧椎弓崩解;L2 椎体致密灶,建议观察。
Adverse Events 舒尼替尼 50mg qd
2022-08-15 CT

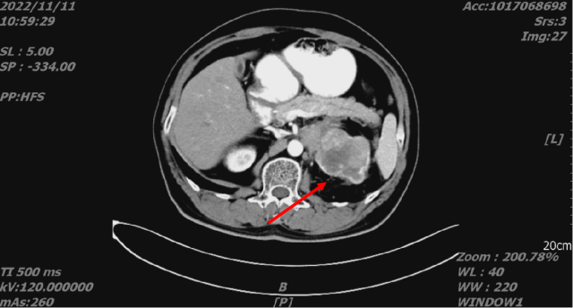
舒尼替尼治疗后,2022-11-11 复查 CT

1. 结合临床,左肾癌治疗后,较前片 2022-08-15 略饱满;左侧肾上腺受累;考虑肝转移,较前进展。
2. 双肺转移,较前变化不著
3. L5 双侧椎弓崩解;L2 椎体致密灶,变化不著。
Treatment 腹腔镜减瘤性肾切除术
01 Sugery
2022-11-23 全麻下腹腔镜减瘤性肾切除术。
02 病理大体
肾体积 14*9*6cm,沿肾门对侧剖开于肾上极见肿物,体积 9.5*7*5cm,切面多彩状,质软,侵透肾被膜,到达肾的脂肪囊,脂肪囊外壁粗糙,侵犯肾窦脂肪。
03 病理
(左肾及肿瘤、左肾上腺区肿瘤)透明细胞性肾细胞癌,核分级 2 级,未见明确脉管癌栓,可见神经侵犯,侵透肾被膜,侵达脂肪囊,未侵犯肾盂粘膜;间质纤维组织增生、炎细胞浸润、组织细胞反应,符合治疗后改变;输尿管断端未见癌。
Treatment 舒尼替尼 50mg qd
2022-08-15 CT

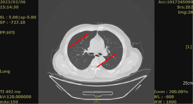
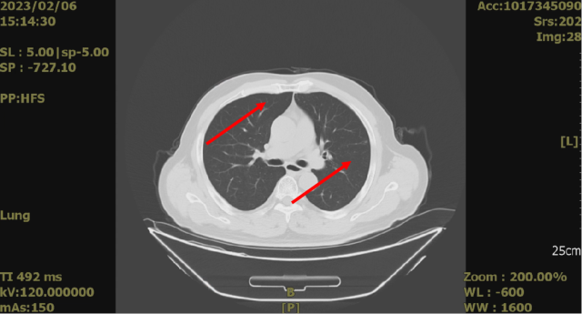
舒尼替尼治疗后,2023-02-06 复查 CT

1. 结合临床,左肾癌术后;考虑肝转移,较前缩小
2. 双肺多发结节,较前(2022-08-15)缩小。
3. 前列腺钙化灶;盆腔少量积液,较前减少
4. L5 双侧椎弓崩解;L2 椎体致密灶,变化不著,观察
Treatment 舒尼替尼 50mg qd
2023-02-06 CT

舒尼替尼治疗后,2023-05-09 复查 CT

1. 结合临床,左肾癌术后;考虑肝转移,较前(2023-02-06)增大。
2. 双肺多发结节,较前变化不著。
3. 前列腺钙化灶;盆腔少量积液,较前减少。
4. L5 双侧椎弓崩解;L2 椎体致密灶,变化不著,观察。
Treatment 舒尼替尼 50mg qd
2023-05-09 CT

舒尼替尼治疗后,2024-04-17 复查CT

1. 结合临床,左肾癌术后;肝转移,较前(2023-05-09)进展;双肺转移,较前新发。
2. 右肺下叶少许炎症,较前变化不著。
3. 前列腺钙化灶;盆腔少量积液。
4. L5 双侧椎弓崩解;L2 椎体致密灶,变化不著,观察。
Treatment 伏罗尼布 100mg qd + 依维莫司 5mg qd
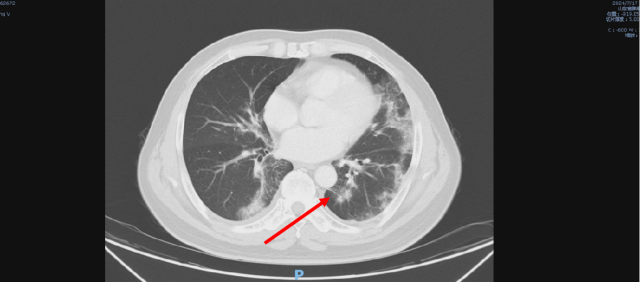
2024-04-18 CT

伏罗尼布+依维莫司治疗后,2024-07-17 复查 CT

Treatment 伏罗尼布 100mg qd
2024-07-17 CT

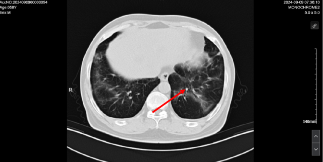
伏罗尼布治疗后,2024-09-09 复查CT

1. 考虑双肺炎症改变,较前范围减小,建议复查
2. 双肺多发结节,较前减小。
3. 双肺多发纤维灶。
4. 心包积液。
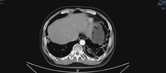
5. 肝内多发低密度病变,结合病史,不除外转移瘤可能,较前部分减小:建议必要时 CT 增强扫描进一步检查。
6. 考虑:肝左叶囊肿。
2024-07-17 CT

伏罗尼布治疗后,2024-09-09 复查 CT

1. 考虑双肺炎症改变,较前范围减小,建议复查
2. 双肺多发结节,较前减小。
3. 双肺多发纤维灶。
4. 心包积液。
5. 肝内多发低密度病变,结合病史,不除外转移瘤可能,较前部分减小:建议必要时 CT 增强扫描进一步检查。
6. 考虑:肝左叶囊肿。
Summary
01 ccRCC T4NxM1:Pazopanib+Envafolimab
02 Transamintis:Axitinib、Sunitinib
03 Disease progression:Cytoreductive Nephrectomy、Sunitinib
04 PR:Vorolanib+Everolimus、Vorolanib
